Nous utilisons des cookies pour vous offrir la meilleure expérience sur notre site. Vous pouvez en savoir plus sur les cookies que nous utilisons ou les désactiver dans les paramètres de cookies
Depuis quelques années, le Dr F. Snaps est venu renforcer notre équipe. Diplômé du Collège Européen en Imagerie Médicale Vétérinaire, le Dr Snaps figure donc parmi les personnes reconnues officiellement comme spécialistes dans ce domaine.
Son expérience dans ce domaine nous permet de proposer, sur rendez-vous, toute une série d’examen pour nos clients ainsi que pour des animaux référés par des confrères.
Le centre est équipé d'un appareil d'échographie dernière génération avec doppler couleur permettant la réalisation des examens abdominaux, thoraciques (échocardiographie et cavité thoracique), musculo-squelettiques et oculaire. Nous réalisons l'ensemble des prélèvements écho-guidés à des fins de diagnostic cytologique et histologique: cytoponction, biopsie et cytobrosse.
Nous disposons d’une unité de radiographie digitalisée permettant l'ensemble des examens radiologiques classiques (thorax, abdomen, colonne, orthopédie) mais également les techniques de contraste (cystographie, myélographie, ...). Le Dr Snaps réalise les radiographies pour le dépistage de la dysplasie des hanches, des coudes et de l'OCD d'épaule pour la Belgique (SRSH/CNAS), la Grande-Bretagne (BVA), l'Allemagne (SV, ADRK) et pour les différents clubs de race français.
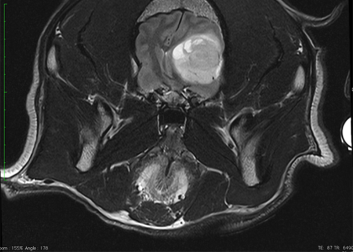
Depuis septembre 2020, notre centre est équipé d’une IRM Esaote Vet-MR Grande.
Cet outil diagnostic exceptionnel, innovant dans le milieu vétérinaire privé en Wallonie, permet de réaliser des examens non invasifs d’imagerie de pointe afin de réaliser des diagnostics pathologiques sur toute une série d’organe (cerveau, moelle épinière, articulations, cavités nasales, oreille interne, …). Cette machine a été installée dans un local exclusivement dédié à son utilisation et dont les paramètres de ventilation et de température ambiante sont parfaitement contrôlés. L’acquisition de cette IRM ouvre aussi la porte vers des chirurgies mieux préparées et plus pointues, dont la neurochirurgie (comme les hernies discales par exemple).
Si vous souhaitez en savoir plus sur le fonctionnement, la réalisation des examens, les tarifs et les modalités pratiques, n’hésitez à visiter le site IRMVet.